目尻切開

上方向(二重・眼瞼下垂)、内側方向(目頭切開)、下方向(下眼瞼開大術)と3方向に目を広げたら残るは、目尻です。目尻切開をすると外方向にかなり広がるように思われますが、残念ながら効果は限定的です。目尻(外眼角)のすぐ外側には、すぐ眼窩骨がありますし、下図のごとくポケット状に隠れている部分しか広げることができないので効果に限界があります。つまり、この外眼角のポケットが深い方は効果が出やすく、ポケットが浅い方は効果が出にくいことになります。時折、他院でこのポケット以上に切開し、粘膜が露出して悲惨な結果になっている方を見かけますが絶対にしてはいけないことです。ポケットが浅くて、効果の出にくい方も下眼瞼開大術を併用することにより、お互いに相乗効果を引き出すことも可能です。この方法は手術手技に技術が求められるのは勿論ですが、実際に適応があるのか正確な診断能力が求められます。
目尻切開は、単に目尻を切って縫うだけでは全く効果がありません。図のAように外眼角の皮膚・粘膜切除し、皮弁をずらして縫合します。それによって目尻外側だけでなく、上下方向にも 白目の露出が大きくなります。下眼瞼開大術(たれ目)と組み合わせれば、より効果的となります。この手術で延長された部分はマツ毛が欠如することになります。マツ毛が欠如した部分にアイラインを入れると、目尻を外側に長くした効果がより実感できます。

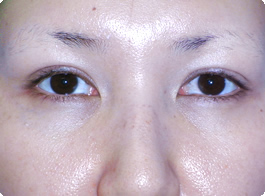
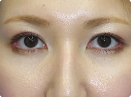
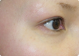
症例写真
※画像をクリックすると拡大画像が表示されます。
-
- 正面の術前(メイク無し)
- 術後1ヶ月(メイク無し)
- 斜位の術前(メイク無し)
- 術後1ヶ月(メイク無し)
目尻切開により白目の露出面積が大きくなっています。
施術名:目尻切開 費用:250,000円(税抜)
【リスク・ダウンタイム】
- 抜糸まで一週間糸がつきます。腫れは10日程度です。
- 傷は残りますが、殆ど目立ちません。
- 目尻切開によって延長された部分には睫毛が生えません。
料金
| 埋没法(6点留め) | 120,000円(税込132,000円) | |
|---|---|---|
| 埋没法(6点留め)+脱脂 | 200,000円(税込220,000円) | |
| 小切開法(部分切開法) | 220,000円(税込242,000円) | |
| 全切開法 | 280,000円(税込308,000円) | |
| 当院埋没糸抜糸 | 10,000円(税込11,000円) | |
| 他院埋没糸抜糸(一本につき) | 50,000円(税込55,000円) | |
| 目力アップ(結膜側挙筋短縮術) | 200,000円(税込220,000円) | |
| 眼瞼下垂 美容目的(自費) | 500,000円(税込550,000円) | |
| 眼瞼下垂 重度(保険) | 3割負担 45,000円程度 | |
| 眉毛下切開 (上眼瞼タルミ取り) |
280,000円(税込308,000円) | |
| 眉毛上皮膚切除 (ブローリフト) |
300,000円(税込330,000円) | |
| 上眼瞼ROOF切除 (分厚い瞼改善) |
切開法or眼瞼下垂or眉毛下切開 + 200,000円(税込220,000円) |
|
| 目頭切開 | 220,000円(税込242,000円) | |
| 下眼瞼開大術 (たれ目形成) |
350,000円(税込385,000円) | |
| 目尻切開 | 250,000円(税込275,000円) | |
| 下眼瞼脱脂術 (経結膜脱脂) |
250,000円(税込275,000円) | |
| 下眼瞼切開術 (下瞼タルミ取り) |
350,000円(税込385,000円) | |
| 下眼瞼切開術 (ハムラ法) |
500,000円(税込550,000円) | |
| モウ古ヒダ形成術 (眼頭切開修正) |
300,000円(税込330,000円) | |
片側は上記各料金の60%
他院修正は状態により追加料金が発生する事があります
下眼瞼開大術・目尻切開は別途静脈麻酔代 ¥50,000
料金は税抜です。



![一般診療を中心に美容診療を行っています。[各種保険取扱][ローン取扱]](/common/img/sidenavi_menu_doc.gif)















