目頭切開
目頭に被っている皮膚を蒙古ひだと言い、文字通り蒙古人(東洋人・日本人)に特徴的なもので、西洋人には見られません。この蒙古ひだがあると目頭側のピンク色の涙丘部分が隠れ、その分眼球の露出が少なくなっているという東洋人の欠点になっています。
そのため、
- 左右の目と目が離れて見え、間延びした印象になる
- 二重の内側が隠れてしまい、平行型の二重になりにくい(末広型になる)
- 目の横径(横幅)が小さく見える

図1のごとく左右の目の横径と内眼角距離(目頭と目頭の間の長さ)がそれぞれA=B=Cが、理想とされています。ところが、蒙古ひだが内眼角を被っているため、AとCが短くなり、その分Bが長くなって目と目が離れて見えてしまい、美容的にはあか抜けない目になってしまっています。目頭切開術(内眼角形成術)を行いますと、この蒙古ひだを取り除くことが出来るので、1)~3)が全て改善されます。つまり・・・
- 目と目が近づくので、洗練された西洋人の目のようになる。
- 二重のラインが内眼角までしっかりと入り、平行型になる。
- 目の横径が広がり、目が大きく見える。
つまり、西洋人的な大人びた美人系の都会的な目になるということです。逆に、もともと目と目が近い方は寄り目になってしまいますので適応になりません。また、童顔系を希望する方は目頭切開はしないか、もしくは控えめの目頭切開にした方が無難です。
目頭切開法は、今まで沢山の術式が考案されてきましたが、当院では自然な仕上がりで、効果も大きく、傷痕も小さく済むZ形成術を採用しています。この方法は蒙古ひだの皮膚を切除してしまうのではなく、立体的にずらして三角の皮膚を入れ替える方法です。この術式が解剖学的にもっとも理にかなっており、術後無理な張力がかからないので、傷痕も目立ちません。デザインの角度を調整することにより、しっかりと涙丘を露出したり、控えめにしたり自由自在に可能となります。また、皮膚を切除していないので、万が一気に入らない場合、戻すことも簡単にできます。術後殆ど腫れませんが、目頭に糸が付くので一週間後の抜糸までサングラスは必要になります。

症例写真
※画像をクリックすると拡大画像が表示されます。
-
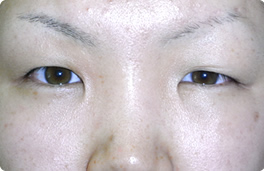
- 術前(メイク無し)
- 術後1ヶ月(メイク無し)
目頭切開を併用することにより綺麗な平行型になりました。
施術名:全切開法+目頭切開 費用:500,000円(税抜)
【リスク・ダウンタイム】
- 全切開法の腫れのピークは抜糸まで7日程度、完成は2~3ヶ月かかります。殆ど目立ちませんが二重に沿った切開線が残ります。
- 目頭切開は抜糸まで一週間糸がつきます。傷は殆ど目立たないものの残ります。
-
- 術前(メイク無し)
- 術後1ヶ月(メイク無し)
目頭切開も同時に行っており、綺麗な平行型になっています。
施術名:埋没法(6点留)+目頭切開 費用:340,000円(税抜)
【リスク・ダウンタイム】
- 戻る可能性が3%程度あります。
- サングラスが必要な腫れは3日間程度、完全な完成は2週間。
- 目頭切開は抜糸まで一週間糸がつきます。傷は殆ど目立たないものの残ります。
-
- 術前(メイク無し)
- 術後1ヶ月(メイク無し)
目頭切開を併用することにより綺麗な平行型になりました。
術後1ヶ月なので若干左右差があります。3ヶ月もすると落ち着きます。施術名:全切開法+目頭切開 費用:500,000円(税抜)
【リスク・ダウンタイム】
- 全切開法の腫れのピークは抜糸まで7日程度、完成は2~3ヶ月かかります。殆ど目立ちませんが二重に沿った切開線が残ります。
- 目頭切開は抜糸まで一週間糸がつきます。傷は殆ど目立たないものの残ります。
-
- 術前(メイク無し)
- 術後1ヶ月(メイク無し)
目頭切開を併用することにより綺麗な平行型になりました。
術後1ヶ月なので若干左右差があります。3ヶ月もすると落ち着きます。施術名:全切開法+目頭切開 費用:500,000円(税抜)
【リスク・ダウンタイム】
- 全切開法の腫れのピークは抜糸まで7日程度、完成は2~3ヶ月かかります。殆ど目立ちませんが二重に沿った切開線が残ります。
- 目頭切開は抜糸まで一週間糸がつきます。傷は殆ど目立たないものの残ります。
-
- 術前(メイク無し)
- 術後1ヶ月(メイク無し)
目頭切開を併用することにより綺麗な平行型になりました。
術後1ヶ月なので若干左右差があります。3ヶ月もすると落ち着きます。施術名:全切開法+目頭切開 費用:500,000円(税抜)
【リスク・ダウンタイム】
- 全切開法の腫れのピークは抜糸まで7日程度、完成は2~3ヶ月かかります。殆ど目立ちませんが二重に沿った切開線が残ります。
- 目頭切開は抜糸まで一週間糸がつきます。傷は殆ど目立たないものの残ります。
-
- 術前(メイク無し)
- 術後1ヶ月(メイク有)
目頭切開を併用することにより綺麗な平行型になりました。
術後1ヶ月なので若干左右差があります。3ヶ月もすると落ち着きます。施術名:眼瞼下垂+目頭切開 費用:720,000円(税抜)
【リスク・ダウンタイム】
- 眼瞼下垂法の腫れのピークは抜糸まで7日程度、完成は2~3ヶ月かかります。殆ど目立ちませんが二重に沿った切開線が残ります。
- 目頭切開は抜糸まで一週間糸がつきます。傷は殆ど目立たないものの残ります。
料金
| 埋没法(6点留め) | 120,000円(税込132,000円) | |
|---|---|---|
| 埋没法(6点留め)+脱脂 | 200,000円(税込220,000円) | |
| 小切開法(部分切開法) | 220,000円(税込242,000円) | |
| 全切開法 | 280,000円(税込308,000円) | |
| 当院埋没糸抜糸 | 10,000円(税込11,000円) | |
| 他院埋没糸抜糸(一本につき) | 50,000円(税込55,000円) | |
| 目力アップ(結膜側挙筋短縮術) | 200,000円(税込220,000円) | |
| 眼瞼下垂 美容目的(自費) | 500,000円(税込550,000円) | |
| 眼瞼下垂 重度(保険) | 3割負担 45,000円程度 | |
| 眉毛下切開 (上眼瞼タルミ取り) |
280,000円(税込308,000円) | |
| 眉毛上皮膚切除 (ブローリフト) |
300,000円(税込330,000円) | |
| 上眼瞼ROOF切除 (分厚い瞼改善) |
切開法or眼瞼下垂or眉毛下切開 + 200,000円(税込220,000円) |
|
| 目頭切開 | 220,000円(税込242,000円) | |
| 目尻切開 | 250,000円(税込275,000円) | |
| 下眼瞼脱脂術 (経結膜脱脂) |
250,000円(税込275,000円) | |
| 下眼瞼切開術 (下瞼タルミ取り) |
350,000円(税込385,000円) | |
| 下眼瞼切開術 (ハムラ法) |
500,000円(税込550,000円) | |
片側は上記各料金の60%
他院修正は状態により追加料金が発生する事があります
料金は税抜です。



![一般診療を中心に美容診療を行っています。[各種保険取扱][ローン取扱]](/common/img/sidenavi_menu_doc.gif)






















