下眼瞼脱脂(経結膜脱脂)・下眼瞼切開法

目の下のクマが気になると訴えられる患者様には二つのパターンがあります。一つは色素をともなう場合で、トレチノイン軟膏など外用療法がメインとなります。もう一つは、中年以降に見られる、いわゆる目袋(Baggy eyelids)と称される下瞼の皮膚の膨らみ(タルミ)で、一般に30歳を過ぎると加齢とともに目立ってきますが、若年者でも目立つ方もいます。実際には後者の方が圧倒的に多く、手術療法の適応になります。患者様は、目の下のクマのせいで年齢より老けて見える、疲れたように見えると訴えられます。この目袋の膨らみはどうして生じるのでしょうか?右図のように、眼球は眼窩骨の中の眼窩脂肪で支えられていますが、眼球自体の重みで眼窩脂肪が前方に押し出され目袋の膨らみとなって目立つわけです。一般的には若いうちは眼窩隔膜のハリが強く、押し出す力に対抗できるのですが、年齢とともにハリが弱くなり、目袋の膨隆となります。
1. 下眼瞼脱脂(経結膜脱脂)
下図のように下眼瞼を翻転し、結膜側(内側)を切開して余分な眼窩脂肪を取り除き、さらに眼窩隔膜をピンと張って眼窩脂肪が突出しないように防ぎます。この方法は結膜側(内側)を切開するので、傷は一切見えません。また、腫れ・内出血も数日程度でダウンタイムも極めて短くすみます。他院で脂肪を取り過ぎて目袋が凹んでしまって却って老けて見えてしまっている症例を見受けますが、取り過ぎは絶対にいけません。控えめにするのが肝要です。また、加齢により下マブタ自体の皮膚がたるんでチリメンジワが元々目立つ場合は、本法で眼窩脂肪を取ってしまうと、皮膚が余ってタルミとチリメンジワが却って目立ってしまいます。出産後、妊娠線や下腹部がたるんでしまうのと同じことです。このような方は(2)の下眼瞼切開法の適応となります。個人差がありますが、この手術は50歳くらいまでの方が対象です。

2. 下眼瞼切開法
下瞼の皮膚自体、目袋自体が余っている場合は、余剰皮膚を切除しなければなりません。
下図2のように下眼瞼縁から目尻にかけてデザインし、余剰皮膚を切除し縫合します。
傷は下瞼縁に沿い、目尻は笑いジワに一致しますので傷は殆ど目立ちません。しかし、皮膚切除だけですと、頬の重みに負けてしまって下瞼が引っ張られ外反(アッカンベーの状態)してしまいます。外反すると目が乾く、ほこりが入って痛いなどの症状が生ずるので
絶対にさけなければなりません。これを防ぐために、皮膚の下層の眼輪筋を目尻側の骨(骨膜)に吊り上げ固定します(下図3)。これにより外反を防げるだけでなく、下瞼の皮膚にハリを保ち、(1)と同じく眼窩脂肪の突出を抑えることが出来る訳です。

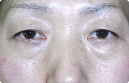
下眼瞼脱脂(経結膜脱脂)症例写真
※画像をクリックすると拡大画像が表示されます。
-
- 術前(メイク無し)
- 術後1ヶ月(メイク無し)
経結膜脱脂により下眼瞼のクマ(目袋)が目立たなくなりました。
施術名:下眼瞼脱脂術(経結膜脱脂) 費用:250,000円(税抜)
【リスク・ダウンタイム】
- 3日~5日程度、腫れ・内出血が生じます。
- 白目が1週間充血します。
- 脂肪を取過ぎると凹んでしまうので控えめに摘除するのがコツです。
-
- 術前(メイク無し)
- 術後1ヶ月(メイク無し)
経結膜脱脂により下眼瞼のクマ(目袋)が目立たなくなりました。
施術名:下眼瞼脱脂術(経結膜脱脂) 費用:250,000円(税抜)
【リスク・ダウンタイム】
- 3日~5日程度、腫れ・内出血が生じます。
- 白目が1週間充血します。
- 脂肪を取過ぎると凹んでしまうので控えめに摘除するのがコツです。
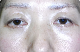
下眼瞼切開法 症例写真
-
- 術前(メイク無し)
- 術後1ヶ月(メイク無し)
下眼瞼のタルミを切除することにより若返りました。
施術名:下眼瞼切開法 費用:350,000円(税抜)
【リスク・ダウンタイム】
- 7~10日程度、腫れ・内出血が生じます。
- 白目が1週間充血します。
- 睫毛の生え際に沿って傷は残りますが、半年程度で殆ど目立たなくなります。
-
- 術前(メイク無し)
- 術後1ヶ月(メイク無し)
下眼瞼のタルミを切除することにより若返りました。
施術名:下眼瞼切開法 費用:350,000円(税抜)
【リスク・ダウンタイム】
- 7~10日程度、腫れ・内出血が生じます。
- 白目が1週間充血します。
- 睫毛の生え際に沿って傷は残りますが、半年程度で殆ど目立たなくなります。
料金
| 埋没法(6点留め) | 120,000円(税込132,000円) | |
|---|---|---|
| 埋没法(6点留め)+脱脂 | 200,000円(税込220,000円) | |
| 小切開法(部分切開法) | 220,000円(税込242,000円) | |
| 全切開法 | 280,000円(税込308,000円) | |
| 当院埋没糸抜糸 | 10,000円(税込11,000円) | |
| 他院埋没糸抜糸(一本につき) | 50,000円(税込55,000円) | |
| 目力アップ(結膜側挙筋短縮術) | 200,000円(税込220,000円) | |
| 眼瞼下垂 美容目的(自費) | 500,000円(税込550,000円) | |
| 眼瞼下垂 重度(保険) | 3割負担 45,000円程度 | |
| 眉毛下切開 (上眼瞼タルミ取り) |
280,000円(税込308,000円) | |
| 眉毛上皮膚切除 (ブローリフト) |
300,000円(税込330,000円) | |
| 上眼瞼ROOF切除 (分厚い瞼改善) |
切開法or眼瞼下垂or眉毛下切開 + 200,000円(税込220,000円) |
|
| 目頭切開 | 220,000円(税込242,000円) | |
| 下眼瞼開大術 (たれ目形成) |
350,000円(税込385,000円) | |
| 目尻切開 | 250,000円(税込275,000円) | |
| 下眼瞼脱脂術 (経結膜脱脂) |
250,000円(税込275,000円) | |
| 下眼瞼切開術 (下瞼タルミ取り) |
350,000円(税込385,000円) | |
| 下眼瞼切開術 (ハムラ法) |
500,000円(税込550,000円) | |
| モウ古ヒダ形成術 (眼頭切開修正) |
300,000円(税込330,000円) | |
片側は上記各料金の60%
他院修正は状態により追加料金が発生する事があります
下眼瞼開大術・目尻切開は別途静脈麻酔代 ¥50,000
料金は税抜です。



![一般診療を中心に美容診療を行っています。[各種保険取扱][ローン取扱]](/common/img/sidenavi_menu_doc.gif)



















